Nuestros Servicios
Soluciones dentales especializadas para tu bienestar.
Casos Clínicos
La excelencia se demuestra con resultados. Conoce cómo hemos transformado la vida de nuestros pacientes.
Rehabilitación Implantosoportada
Paciente consulta por pérdida de su primer, segundo premolar y primer molar del lado izquierdo.
Se realiza una rehabilitación implantosoportada para resolver el problema funcional y estético, devolviendo la capacidad masticatoria y la confianza al sonreír.
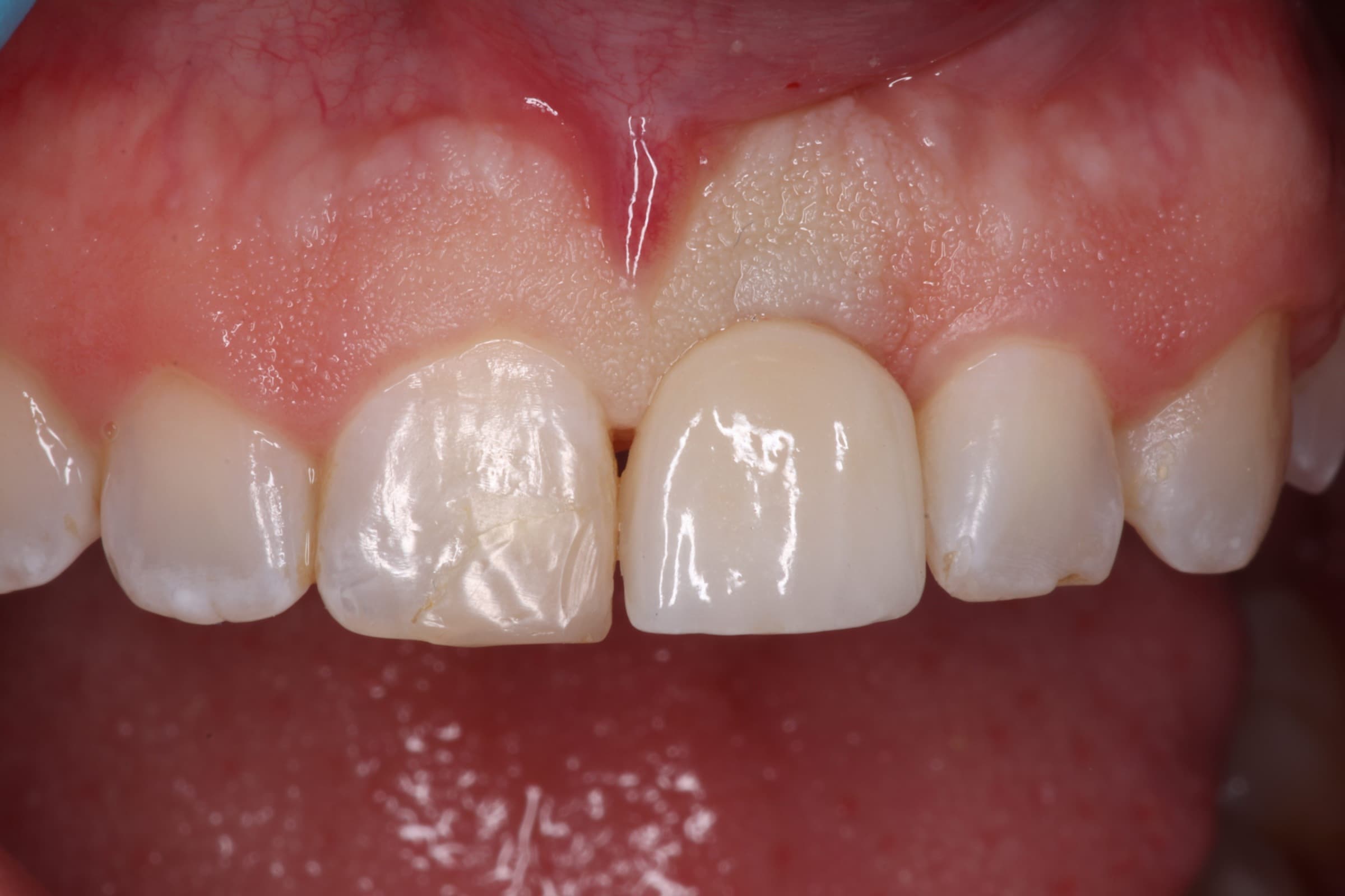
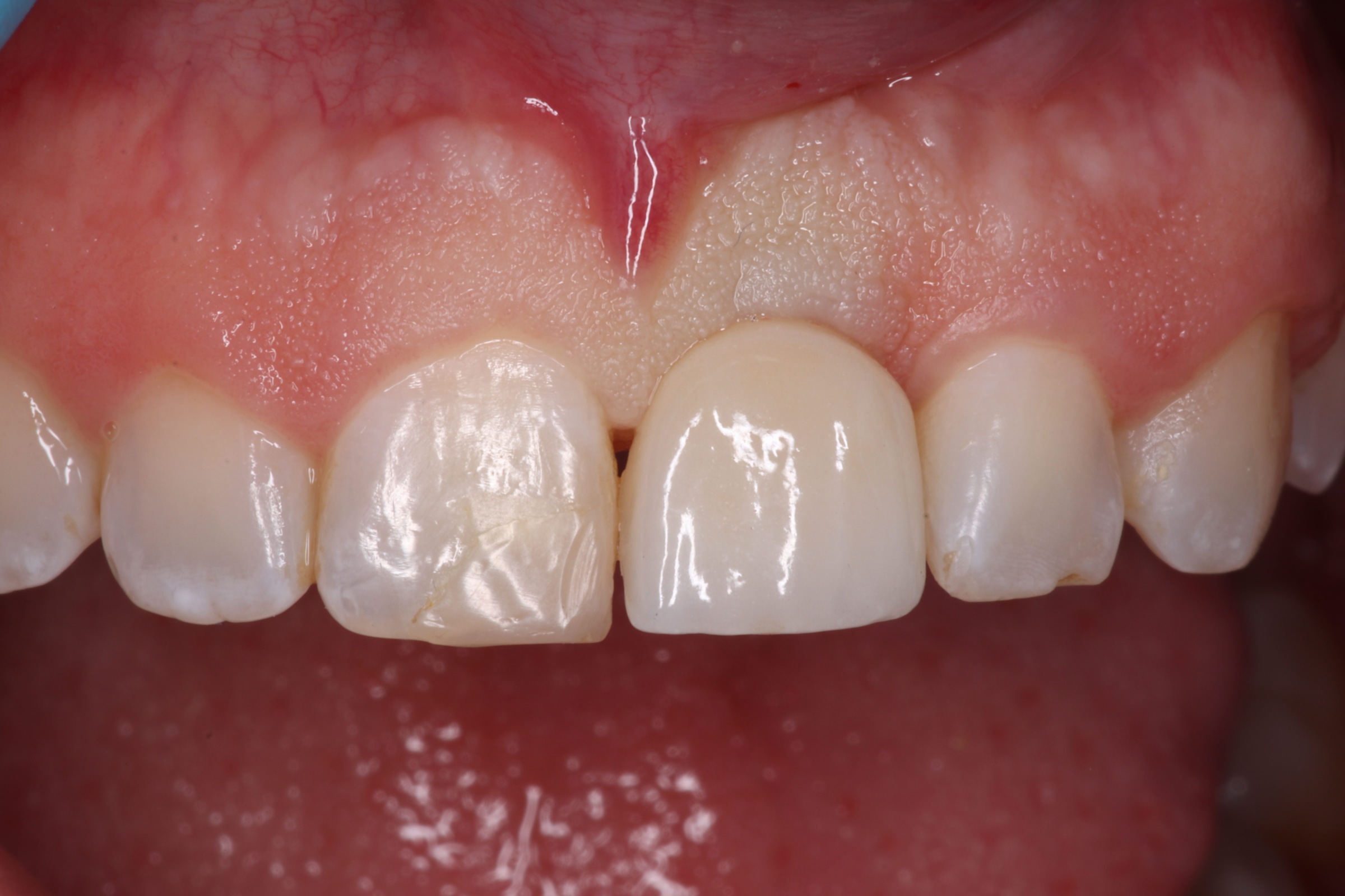
Implante Unitario Sector Anterior
Paciente acude a la consulta por pérdida traumática de su incisivo central izquierdo.
Se realiza una rehabilitación a través de una corona de zirconio sobre implante, logrando una integración natural con los tejidos blandos.
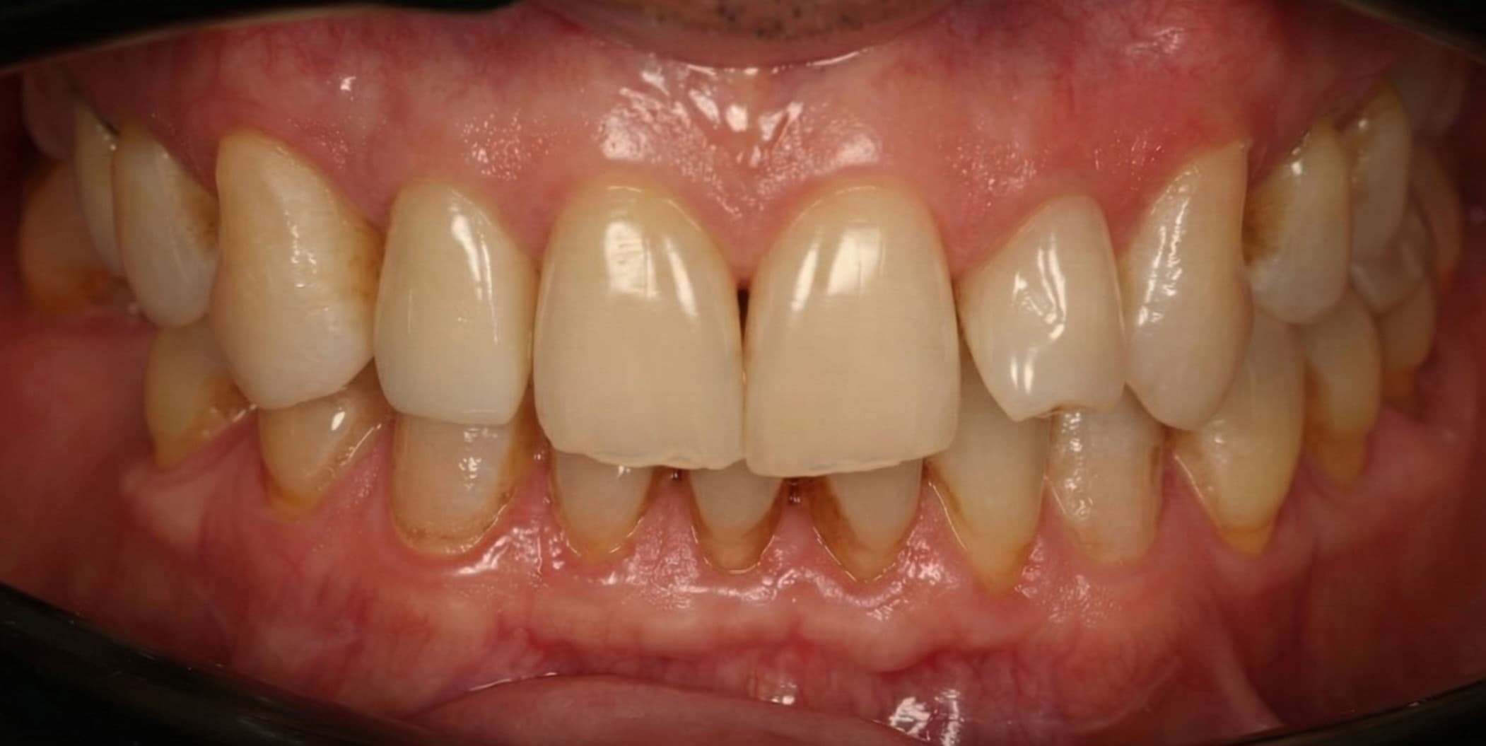
Rehabilitación Oral Completa
Paciente consulta por desgaste severo y pérdida de piezas dentales en ambas arcadas.
Se realiza un plan de rehabilitación integral devolviendo función masticatoria y armonía estética mediante prótesis fija sobre implantes.
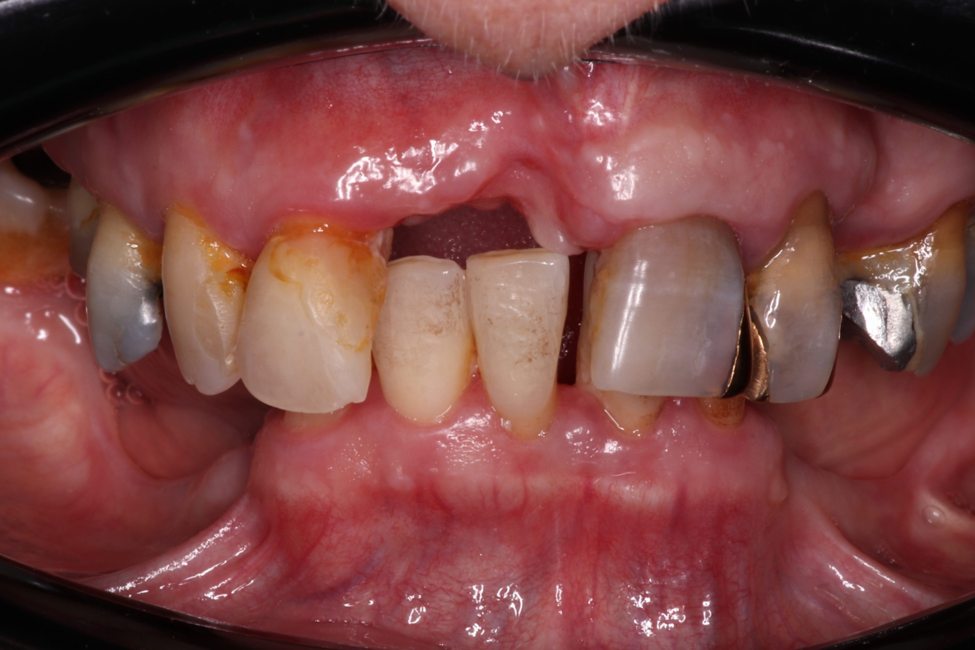
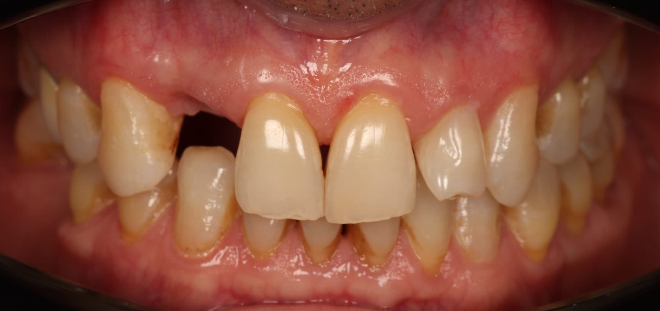
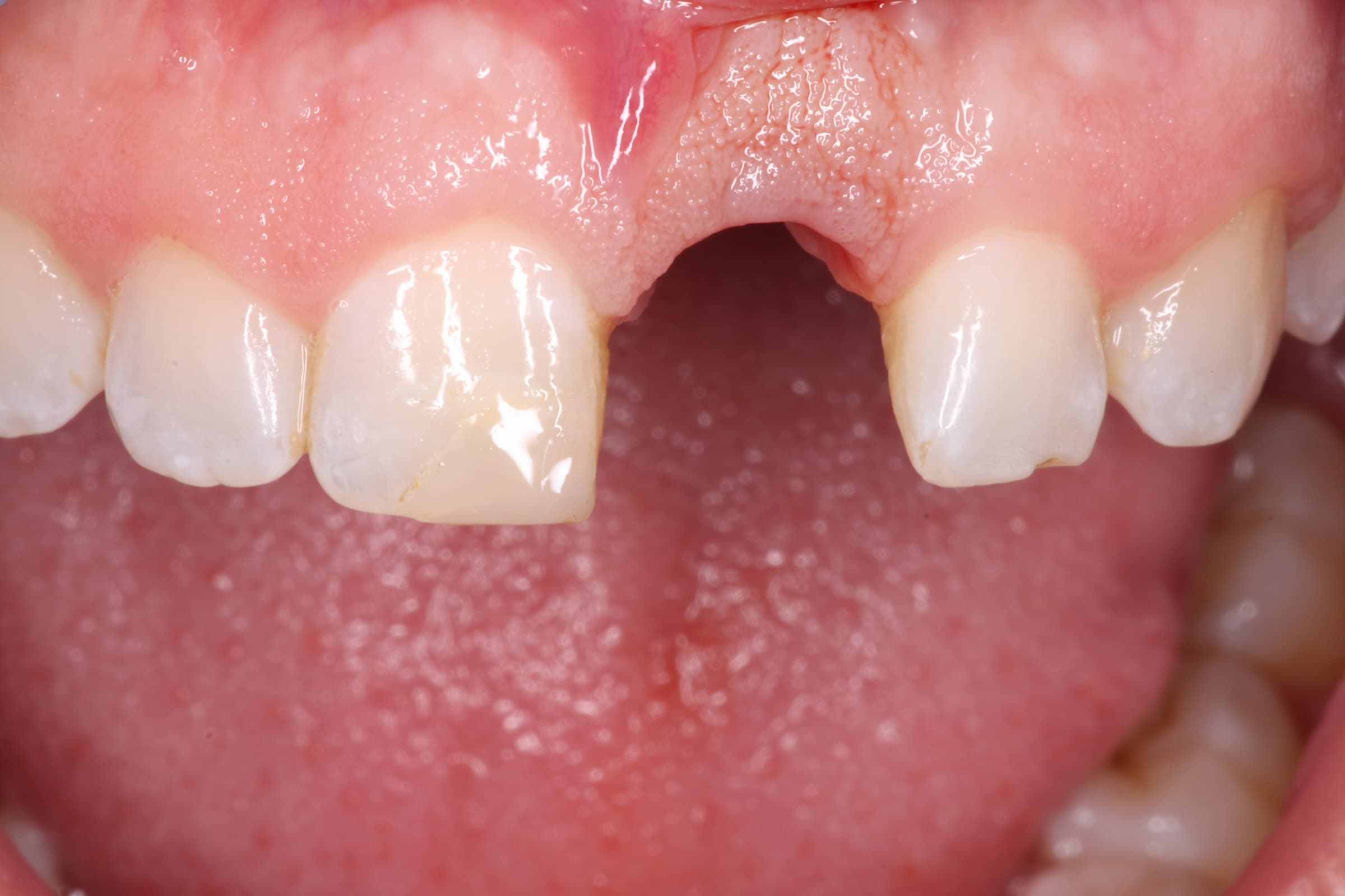
Implante Inmediato Sector Anterior
Fractura de incisivo lateral izquierdo por trauma.
Se realiza exodoncia de resto de diente con colocación inmediata de implante y diente provisorio. Se realiza la corona definitiva a los 4 meses.

